Today Tori had a Behavioral Audiology evaluation and a chest x-ray. It was a pretty easy day.
For the audiology test they played sounds and made noises to see how Tori would react.

Tori did fairly well! There were some noises she didn’t care about but others either startled her or interested her and she responded.
We then met up with Anniston’s parents while they waited for her MRI to be completed. We have had such a wonderful time visiting with them this week!
Then Tori went in for her chest x-ray. Dr. Escolar wanted to see how her scoliosis is affecting her lungs, if at all.
After the x-ray we went back up to our room in the Ronald McDonald House and rested for a few hours. We are exhausted and it felt so good!
Dr. Escolar wanted to meet with us again so we went down to her office.
She gave us some things to consider and we will be making appointments with some of Tori’s specialists in Hershey. Nothing is of great concern right now, but if we don’t address some of these potential issues they could be a problem later.
We will get a full report with her recommendations in a week or so.
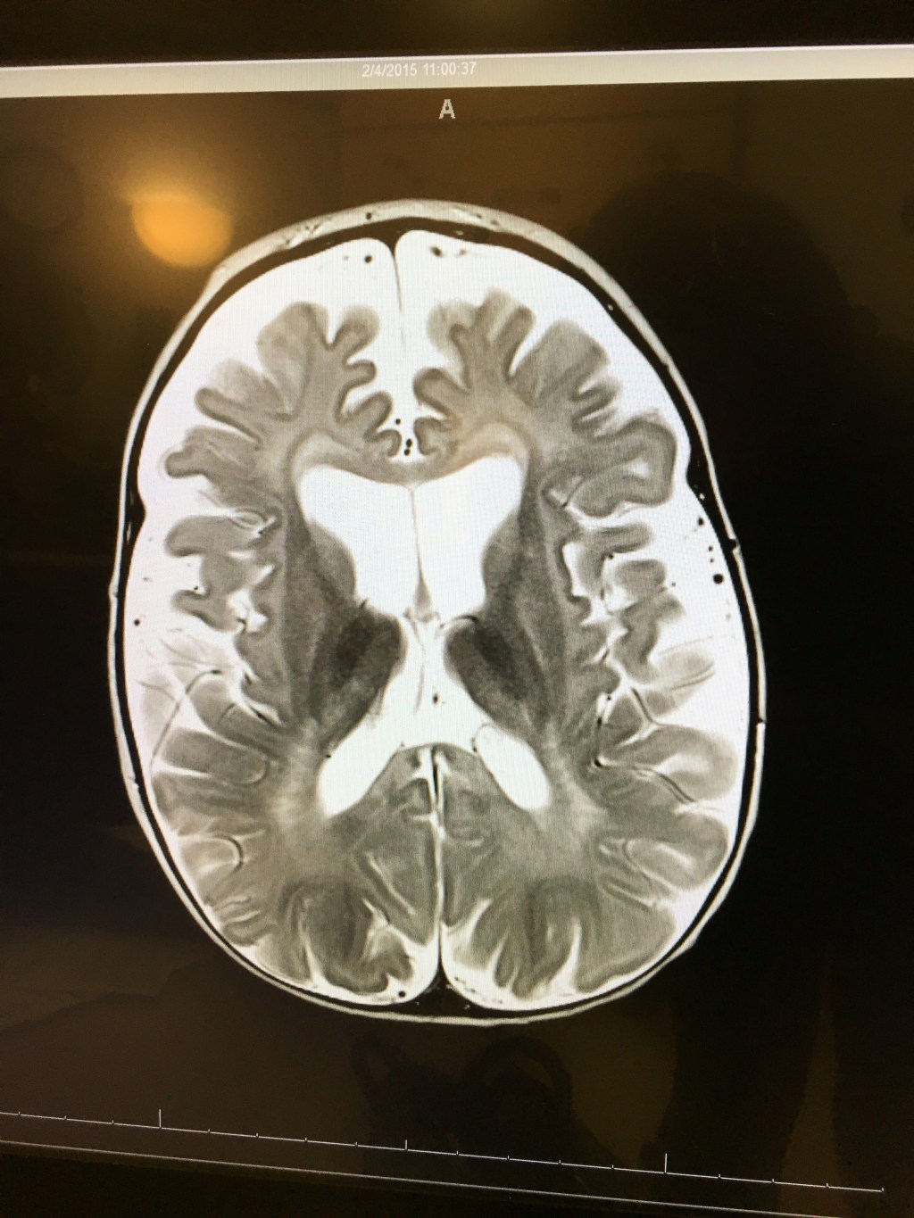
She also showed us an image of Tori’s current MRI so we could compare it to the one from last year:
Last year:
Unfortunately, her brain has continued to atrophy and Krabbe is still very present. But, God is sovereign and still in control!
We will return to Harrisburg tomorrow afternoon and are looking forward to getting back to “normal” life ❤️
Thank you all for continuing to pray for Tori and for us – your support and encouragement means more than we can express.










Leave a comment